Khớp vai là khớp quan trọng trong vận động. Một trong những bộ phận quan trọng của khớp vai là gân chóp xoay (GCX). GCX khớp vai gồm 4 gân cơ: gân cơ trên gai, dưới gai, tròn bé và dưới vai. Các gân này có nhiệm vụ giữ vững khớp vai, giúp dạng và xoay vai [1].Khớp vai có tầm vận động lớn, được sử dụng nhiều trong suốt đời người nên bệnh lý của chóp xoay thường dễ gặp ở những người trong độ tuổi trung niên. Giống như một bộ máy đã vận hành quá lâu nên các GCX đến giai đoạn này sẽ bị mòn, đó là lúc mà chóp xoay bị rách. Nguyên nhân gây ra tổn thương rách khớp vai là do một chấn thương mạnh cấp tính như ở các vận động viên thể thao hoặc người bị tai nạn nhưng cũng có thể là do những vi chấn thương kéo dài [2], [3]. Người bị rách chóp xoay sẽ có những biểu hiện đau nhiều ở vùng vai, cử động vai khó khăn, nhiều khi không thể tự mặc áo,chải đầu,… hay với tay lấy đồ vật ở trên cao [3]. Điều này làm ảnh hưởng nghiêm trọng đến sinh hoạt hàng ngày cũng như chất lượng cuộc sống của người bệnh.
Hình 1.1. Các gân cơ chóp xoay [1]
Khi bệnh nhân bị đau khớp vai, qua thăm khám, bác sĩ thường chỉ định cho đi chụp X- Quang thường quy. Tuy nhiên, việc chụp X- quang chỉ giúp phát hiện các bệnh lý thoái hóa khớp, vôi hóa gân cơ, mỏm cùng vai xuống thấp… nên thường không đánh giá hết tình trạng của bệnh. Trong trường hợp này để chẩn đoán chính xác cần phải dùng đến phương pháp siêu âm khớp vai và chụp cộng hưởng từ (MRI) có tiêm thuốc tương phản từ vào khớp [4].
|

|

|
|

|

|
|
Hình 2: Hình ảnh siêu âm khảo sát gân cơ trên gai[5].
|
Năm 2018, bệnh viện Đa khoa tỉnh Hải Dương có thực hiện một nghiên cứu về đặc điểm hình ảnh cộng hưởng từ tổn thương GCX. Kết quả thu được cho thấy trung bình cứ 3 người bị đau khớp vai thì có 1 người tổn thương GCX. Độ tuổi thường gặp của những bệnh nhân có tổn thương này chủ yếu từ 40-60 tuổi. Phần lớn nguyên nhân gây ra tổn thương GCX cho bệnh nhân là do chấn thương gây ra, một số ít do thoái hóa khớp hoặc viêm quanh khớp vai. Tổn thương GCX cũng gặp ở vai phải nhiều hơn vai trái do tay phải thường là tay thuận, vận động thường nhiều hơn tay trái.
Nghiên cứu cũng chỉ ra nếu bệnh nhân không gặp một tai nạn nặng nề, nghiêm trọng thì tổn thương GCX thường thấy là rách bán phần mức độ II, trong đó hơn 90% tổn thương là rách bán phần gân cơ trên gai, chỉ có 1 trường hợp duy nhất là tổn thương phối hợp cả gân cơ trên gai và gân cơ dưới gai.
|

|
|

|
|
Hình 3. Rách không hoàn toàn gân cơ xoay theo Ellman[6]
A. phía sụn khớp, B. phía bao hoạt dịch dưới cơ delta, C vùng giữa gân
|
Tổn thương gân cơ dưới vai và gân cơ tròn bé cũng rất hiếm gặp. Vị trí tổn thương GCX hay gặp nhất là tổn thương rách xuyên gân (chiếm 68,8%), còn lại là rách mặt khớp và rách mặt hoạt dịch. Ngoài tổn thương thường thấy là rách bán phần GCX, các tổn thương khác đi kèm hay gặp là tràn dịch tại các vị trí ổ khớp, túi hoạt dịch dưới cơ delta, rãnh gian củ (chiếm 82,4%), tiếp đến là phù tủy xương (58,8%), ít hơn là đụng dập phù nề phần mềm (5,9%).
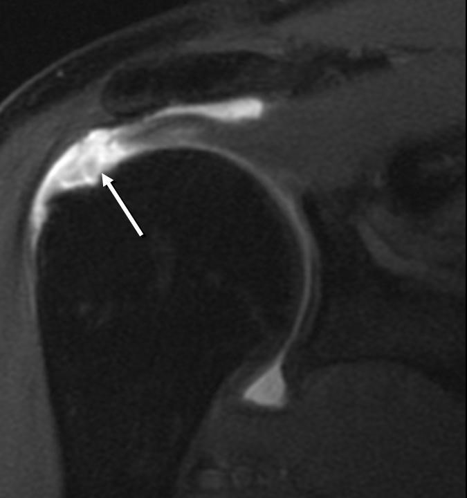
Hình ảnh điển hình tổn thương GCX
|

|

|

|
|
Hình 4. Hình ảnh tổn thương gân cơ trên gai
|
|

|

|
|
Hình 5. Hình ảnh rách bán phần(A), rách hoàn toàn(B)
|
Thực tế cho thấy càng chẩn đoán và can thiệp trễ thì khả năng lành bệnh càng thấp, chi phí điều trị lại càng tăng. Việc phát hiện bệnh sớm và điều trị kịp thời sẽ giúp bệnh nhân sớm thoát khỏi những cơn đau mà giá thành lại giảm đi đáng kể. Chẩn đoán hình ảnh bằng CHT hiện nay có thể nói là phương pháp tối ưu đóng vai trò rất lớn trong việc phát hiện sớm và chẩn đoán chính xác các tổn thương GCX, giúp cho bác sĩ và người bệnh có hướng xử lý và điều trị kịp thời và phù hợp.
TÀI LIỆU THAM KHẢO
1. Trịnh Văn Minh (1998), Giải phẫu người, Nhà xuất bản y học.
2. Al- shawi A., R. Badge and T. Bunker (2008), "The detection of full thickness rotator cuff tears using ultrasound", Bone & Joint journal
3. Phan Châu Hà và cộng sự (2006), Nghiên cứu ứng dụng kỹ thuật cộng hưởng từ khớp vai với tiêm tương phản từ nội khớp, Đại học Y dược thành phố Hồ Chí Minh
4. Đỗ Văn Tú (2010), Nghiên cứu đặc điểm hình ảnh và giá trị của cộng hưởng từ tổn thương khớp vai do chấn thương, Luận văn thạc sỹ y học, Đai học Y Hà Nội
5. Nguyễn Phương Thúy (2017), Đối chiếu siêu âm với cộng hưởng từ thường quy trong phát hiện tổn thương gân cơ chóp xoay do chấn thương,Thạc sỹ y học, Đại học Y Hà Nội
6. Zlatkin M. B et al (2003), MRI of the shoulder, Lippincott Williams & Wilkins
BSCKI Lê Huy Hoàng – Khoa Chẩn đoán hình ảnh