Kỹ thuật sử dụng vòng Endoloop để thắt cuống polyp được áp dụng tại Bệnh viện đa khoa tỉnh Hải Dương từ tháng 10/2019. Kỹ thuật này có nhiều ưu điểm, đặc biệt đối với các bệnh nhân có polyp lớn như trong trường hợp lâm sàng sau đây.
Bệnh nhân nam 61 tuổi đi khám bệnh tại Bệnh viện đa khoa tỉnh Hải Dương vì lý do đi ngoài ra máu. Bệnh nhân được bác sĩ khám và cho chỉ định nội soi đại tràng. Trong quá trình nội soi phát hiện ở đại tràng sigma có 01 polyp lớn khoảng 2,5 cm có cuống lớn và dài. Bệnh nhân có chỉ định cắt polyp phòng ngừa nguy cơ polyp ung thư hóa.
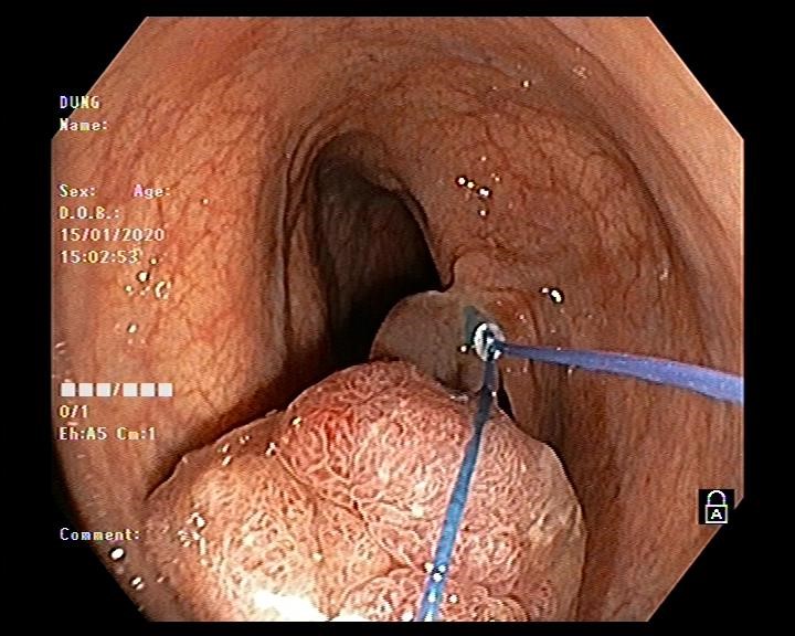
Hình ảnh nội soi đại tràng cắt polyp
Vấn đề đặt ra là với kích thước và tính chất polyp như vậy thì có khả năng polyp được nuôi bằng mạch máu lớn, nếu chỉ cắt đốt bằng phương pháp thông thường thì nguy cơ xuất huyết ồ ạt sẽ rất cao. Do đó bác sĩ nội soi Ths Vũ Thanh Tùng quyết định sử dụng vòng Endoloop để thắt cuống polyp trước khi tiến hành cắt đốt. Thủ thuật diễn ra thuận lợi, nhanh gọn trong vòng 10-15 phút và không xảy ra tai biến dù là polyp này được nuôi bằng mạch máu lớn.
|

|

|
|
Hình ảnh Endoloop và dụng cụ thắt Endoloop
|
|

|

|
|

|

|
|
Hình ảnh thắt cuống polyp bằng vòng Endoloop
|
Kỹ thuật sử dụng vòng Endoloop để thắt cuống polyp lớn là một kỹ thuật được áp dụng tại Đơn vị nội soi Bệnh viện đa khoa tỉnh Hải Dương từ tháng 10 năm 2019. Với những tiến bộ trong các công cụ hỗ trợ nội soi hiện nay như Endoclips và Endoloops, nó đã trở nên an toàn hơn để thực hiện kỹ thuật nội soi cắt polyp cuống lớn. Cấu tạo của Endoloop gồm 2 phần: phần cán của Endoloop có cấu tạo gần giống như cán của thòng lọng, có bộ phận để đưa vòng Endoloop vào chân polyp, phần thứ 2 là vòng thắt được cấu tạo bằng chất dẻo đặc biệt có gắn thêm ống nhựa như một một cái khóa vòng thắt. Để ngăn ngừa chảy máu sử dụng dụng cụ Endoloop như một dây ga rô buộc chặt cuống polyp ở vị trí sát chân polyp trước khi tiến hành cắt bằng thòng lọng. Sau khi cắt polyp dụng cụ Endoloop vẫn còn lại vài ngày sau ở phần chân polyp cho đến khi phần này teo lại dụng vào lòng đại trực tràng.
Áp dụng kỹ thuật này giúp giảm thiểu nguy cơ xuất huyết cho bệnh nhân, tuy nhiên thực hiện được kỹ thuật này phải có một đội ngũ bác sĩ và kỹ thuật viên có kinh nghiệm, đặc biệt là sự phối hợp nhịp nhàng, ăn ý giữa bác sĩ nội soi và kỹ thuật viên. Từ khi triển khai kỹ thuật này tại bệnh viện đa khoa tỉnh Hải Dương, rất nhiều bệnh nhân có polyp lớn đã được cắt an toàn, giảm thiểu tối đa nguy cơ xuất huyết sau cắt và thuận lợi cho người bệnh không phải chuyển lên tuyến trên để điều trị.
Bệnh nhân có nhu cầu xin liên hệ:
Khoa thăm dò chức năng , bệnh viện đa khoa tỉnh Hải dương
Điện thoại: 0220 3899013
|
|
Ths.Bs Vũ Thanh Tùng
Trưởng khoa thăm dò chức năng
Bệnh viện Đa khoa tỉnh Hải Dương
|