Trang chủ / Kỹ thuật đã triển khai

UNG THƯ ĐẠI TRỰC TRÀNG VÀ KỸ THUẬT NỘI SOI CHẨN ĐOÁN SỚM

20/06/2022 (GMT+7)
Ung thư đại - trực tràng  (Colon Cancer) là một trong những bệnh ung thư phổ biến trên thế giới. Theo thống kê  năm 2012 của Globocan, ung thư đại trực tràng đứng thứ 3 về tỷ lệ mắc (10%) và thứ 4 về tỷ lệ tử vong (8,5%) do ung thư. Ở Mỹ, ung thư đại trực tràng đứng hàng thứ tư về tỷ lệ mắc và thứ 2 về tỷ lệ tử vong. Tại Việt Nam, ung thư đại trực tràng nằm trong số 10 bệnh ung thư thường gặp, có xu hướng gia tăng. Tỷ lệ mắc chuẩn theo tuổi là 10,1/100.000 dân, đứng hàng thứ sáu trong các bệnh ung thư của cả 2 giới.

1. TRIỆU CHỨNG LÂM SÀNG CỦA UNG THƯ ĐẠI TRỰC TRÀNG

   Triệu chứng lâm sàng của bệnh nhân  ung thư đại trực tràng  thường nghèo nàn, âm thầm và thường có ở rất nhiều bệnh khác nhau. Các triệu chứng tuy không đặc hiệu cho bệnh nhân  nhưng dù sao cũng là những triệu chứng gợi ý, có giá trị cho việc xác định làm các thăm dò cần thiết để quyết định chẩn đoán.

   Có thể gặp các triệu chứng sau:

- Đi ngoài phân có máu: là triệu chứng thường gặp nhất, có giá trị gợi ý chẩn đoán ung thư đại trực tràng. Có thể thấy máu tươi thành vệt trên khuôn phân, hay loang ra khuôn phân, hoặc phân lẫn nhày máu màu nâu, màu đen hoặc lờ lờ máu cá. Triệu chứng càng có giá trị khi phân mềm hoặc nhão mà có máu kèm theo.  Chảy máu có thể ở nhiều mức độ khác nhau: có thể máu chảy ít chỉ ở mức độ vi thể, có thể chảy máu mức độ vừa phải, thậm chí có trường hợp chảy máu nặng gây mất máu nghiêm trọng.

- Đại tiện phân lỏng: đi ngoài ngày nhiều lần, có khi xuất hiện đau quặn, mót dặn nên dễ chẩn đoán nhầm với hội chứng lỵ.

- Đau bụng: cũng thường gặp trong ung thư đại trực tràng,Táo bón, mệt mỏi không rõ nguyên nhân, chán ăn sụt cân

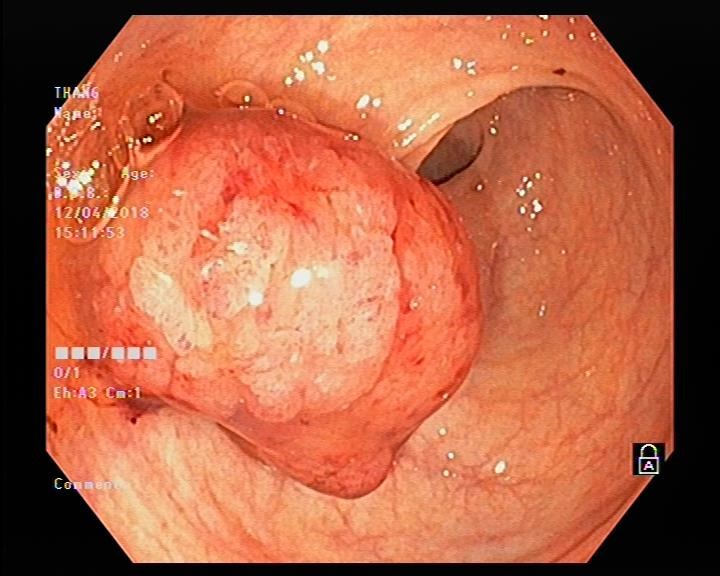
Polyp u tuyến

Hình ảnh NBI type III

 

 

2. NGUYÊN NHÂN GÂY BỆNH UNG THƯ ĐẠI TRỰC TRÀNG

   Nguyên nhân chính xác gây ra ung thư vẫn không được biết rõ. Tuy nhiên, có những yếu tố làm tăng nguy cơ ung thư đại trực tràng. Một số yếu tố nguy cơ mắc bệnh ung thư đại trực tràng là ngoài tầm kiểm soát của bạn.

   Các yếu tố nguy cơ không thể kiểm soát bao gồm:

   Bệnh viêm đường ruột (IBD bao gồm viêm loét đại trực tràng và bệnh Crohn)

Polyp đại tràng

Tuổi trên 50

Tiền sử gia đình mắc bệnh ung thư đại trực tràng

Tiền sử ung thư vú hoặc ung thư buồng trứng

Tuy nhiên, có những yếu tố nguy cơ khác mà bạn có thể kiểm soát. Các yếu tố nguy cơ sau đây có thể được điều chỉnh: Ăn chế độ ăn nhiều thịt đỏ hoặc chế biến, hoặc ăn thịt nấu chín ở nhiệt độ cao

Thừa cân hoặc béo phì

Tập thể dục không đầy đủ

Hút thuốc lá

Uống rượu

3. TẦM SOÁT UNG THƯ ĐẠI TRỰC TRÀNG NHƯ THẾ NÀO?

   Chế độ ăn uống nhiều chất xơ, ngủ đủ, tập thể dục và kiểm soát chất béo cơ thể có thể ngăn chặn 45% ung thư đại trực tràng. Ngoài ra, tầm soát ung thư định kỳ 6 tháng/lần là cách để phát hiện bệnh ở giai đoạn sớm.

   Tầm soát rất quan trọng vì ung thư đại trực tràng ở giai đoạn đầu thường không có bất kỳ triệu chứng nào. Tầm soát có thể phát hiện bệnh ung thư trước khi nó gây ra các triệu chứng, khi cơ hội có thể chữa khỏi được nhiều nhất. .

   Khuyến cáo hầu hết mọi người ≥ 50 tuổi nên nội soi đại tràng để phát hiện ung thư ở giai đoạn sớm.

   Nội soi đại tràng ống mềm là một phương pháp thăm dò chức năng rất có giá trị để chẩn đoán xác định bệnh lý ung thư đại trực tràng, góp phần đắc lực cho chẩn đoán sớm và điều trị, đặc biệt phát hiện bệnh lý polyp cũng như can thiệp cắt polyp qua nội soi. Tuy nhiên kỹ thuật nội soi đại tràng tương đối khó, đòi hỏi thầy thuốc có kinh nghiệm và được đào tạo kỹ thuật nội soi thành thạo.

  Tại Bệnh viện Đa khoa tỉnh nội soi đại tràng ống mềm đã được đưa vào thực hiện trong nhiều năm khoa. Khoa Thăm dò chức năng được trang bị máy nội soi thế hệ mới, hiện đại có ứng dụng công nghệ nhuộm màu nội soi dải tần hẹp (NBI) góp phần vào công tác chẩn đoán và điều trị, đồng thời trong quá trình nội soi có thể quan sát trực tiếp niêm mạc đại tràng, phát hiện sớm ung thư đại trực tràng và đặc biệt có thể can thiệp cắt polyp qua nội soi không đau, không chảy máu.

Dàn nội soi

Kích thước font In ấn

Bình luận chia sẻ

Kỹ thuật đã triển khai
Bài viết mới nhất
13/04/2026 / benhviendakhoatinhhaiduong
Ngày 08/4/2026, Bệnh viện Đa khoa Hải Dương đã tổ chức buổi họp Hội đồng người bệnh cấp bệnh viện Quý I năm 2026 với sự tham gia của đông đảo người bệnh và đại diện các khoa, phòng trong toàn viện. Đây là hoạt động thường kỳ nhằm tăng cường trao đổi, lắng nghe ý kiến và nâng cao chất lượng khám chữa bệnh, hướng tới mục tiêu lấy người bệnh làm trung tâm.
12/04/2026 / benhviendakhoatinhhaiduong
Chiều ngày 10/4/2026, tại Hội trường tầng 6 – Nhà A, Bệnh viện Đa khoa Hải Dương, Chung kết Hội thi Văn nghệ Đoàn Thanh niên năm 2026 với chủ đề “Blouse Trắng – Bùng Cháy Đam Mê” đã diễn ra trong không khí sôi động, đầy cảm xúc và nhiệt huyết của tuổi trẻ ngành y. Hội thi là hoạt động thiết thực chào mừng Tháng Thanh niên, hướng tới kỷ niệm 120 năm thành lập Bệnh viện, đồng thời kỷ niệm ngày thành lập Đoàn Thanh niên Cộng sản Hồ Chí Minh (26/3).
15/04/2026 / benhviendakhoatinhhaiduong
 Ngày 08/4/2026, Bệnh viện Đa khoa Hải Dương phối hợp với Học viện tóc nam Minh Hiếu Barber tổ chức khai trương chương trình cắt tóc miễn phí dành cho người bệnh đang điều trị tại Bệnh viện. Đây là hoạt động ý nghĩa nằm trong chuỗi chương trình công tác xã hội năm 2026, góp phần chăm sóc đời sống tinh thần, mang lại sự thoải mái và tự tin cho người bệnh trong quá trình điều trị.
30/03/2026 / benhviendakhoatinhhaiduong
Ngày 29/03/2026, Trung tâm Bảo vệ sức khỏe cán bộ thuộc Bệnh viện Đa khoa Hải Dương tổ chức khám sức khỏe định kỳ cho các cán bộ thuộc diện bảo vệ, chăm sóc sức khỏe. Hoạt động nhằm đánh giá, phân loại tình trạng sức khỏe, phát hiện sớm các bệnh lý, đặc biệt là các bệnh mạn tính, từ đó có biện pháp theo dõi, dự phòng và điều trị kịp thời.
27/03/2026 / benhviendakhoatinhhaiduong
Khép lại những ngày tranh tài sôi nổi, giải bóng đá nam Bệnh viện Đa khoa Hải Dương chào mừng kỷ niệm 95 năm Ngày thành lập Đoàn TNCS Hồ Chí Minh và hướng tới dấu mốc 120 năm xây dựng, phát triển của Bệnh viện Đa khoa Hải Dương (1906–2026), đã chính thức bế mạc, để lại nhiều ấn tượng tốt đẹp trong lòng cán bộ, đoàn viên, thanh niên toàn viện.
Tin đã đăng
TRANG TIN ĐIỆN TỬ BỆNH VIỆN ĐA KHOA HẢI DƯƠNG
 Địa chỉ : số 225 Nguyễn Lương Bằng, phường Lê Thanh Nghị, thành phố Hải Phòng
Điện thoại :(03203)890 205
Email: benhviendakhoatinhhaiduong@gmail.com
logo.png ® BỆNH VIỆN ĐA KHOA HẢI DƯƠNG
 Hết lòng phục vụ người bệnh và hành động vì sức khỏe cộng đồng

BỆNH VIỆN ĐA KHOA HẢI DƯƠNG giữ bản quyền nội dung cho website này.
Nghiêm cấm mọi sao chép bài viết mà không được sự đồng ý của tác giả.