Trang chủ / Y học thường thức

NHỮNG TIẾN BỘ TRONG PHẪU THUẬT GAN MẬT TẠI BỆNH VIỆN ĐA KHOA HẢI DƯƠNG

28/04/2026 (GMT+7)
Bệnh lí gan mật luôn là thách thức với các phẫu thuật viên bởi mức độ phức tạp do cấu trúc giải phẫu và cần các trang thiết bị chuyên biệt. Các phẫu thuật mổ mở trước kia được coi là phương pháp duy nhất để điều trị các bệnh lí gan mật như bệnh lí sỏi mật, áp xe gan, nang gan, u gan, nang ống mật chủ hay u đường mật.

   Tuy nhiên các phẫu thuật mổ mở thường có vết mổ dài, BN đau nhiều, lâu hồi phục, nhiều biến chứng sau mổ và đôi khi không giải quyết được hết thương tổn. Sự phát triển của phẫu thuật nội soi và các trang thiết bị vật tư y tế hiện đại đã góp phần giải quyết được các vấn đề trên của mổ mở.

   Được sự quan tâm của lãnh đạo các cấp, sở ban ngành Bệnh viện Đa  khoa Hải Dương đã được đầu tư thêm các trang thiệt bị hiện đại như dàn phẫu thuật nội soi 4K, Máy tán sỏi Laser, hệ thống nội soi ống mềm, dao siêu âm và dao Ligasure. Tập thể khoa ngoại tiêu hóa đã không ngừng học tập các kỹ thuật tiên tiến của tuyến trên và từng bước triển khai tại BVĐK Hải Dương. Từ cuối năm 2025 đến nay khoa đã triển khai thành công các phẫu thuật như PTNS lấy sỏi Ống mật chủ, nội soi tán sỏi Laser. Các trường hợp sỏi trên gan chúng tôi cũng đã triển khai nội soi tán Laser cả mổ mở và phẫu thuật nội soi. Chúng tôi đã triển khai cắt gan nội soi điều trị các bệnh lí sỏi mật hay U gan. Các BN sau mổ đỡ đau và nhanh chóng hồi phục mang lại sự hài lòng cho người bệnh.

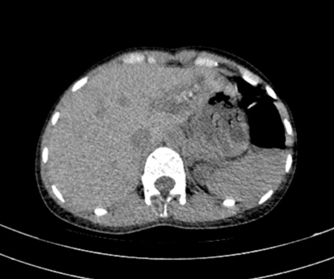
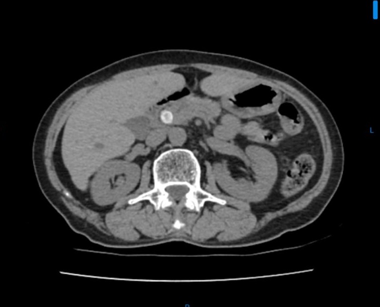
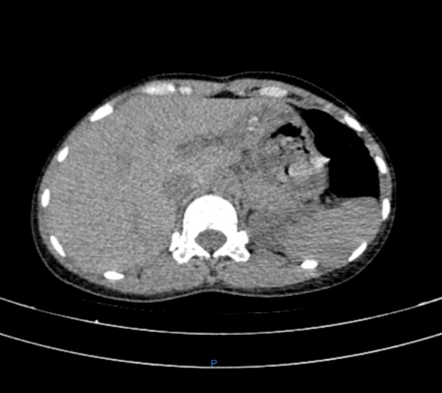
   Bệnh nhân nữ 67 tuổi xuất hiện đau hạ sườn phải từng đợt nhiều năm, Mỗi lần đau thường kèm theo sốt, vàng da. BN đã đi khám ở tuyến trên được chẩn đoán tắc mật do sỏi ống mật chủ và sỏi trên gan. BN được chỉ phẫu thuật và quyết định mổ tại BVĐK Hải Dương. Chúng tôi sau khi xem xét hồ sơ bệnh án đã quyết định thực hiện phẫu thuật nội soi tán sỏi OMC và sỏi trên gan kèm tán sỏi Laser. Ca mổ đã diễn ra vô cùng thuận lợi. Sau 2 tiếng ca mổ đã hoàn thành. Sỏi trên gan và sỏi OMC được tán nhỏ và lấy qua nội soi. Sau 10 ngày điều trị hậu phẫu bệnh nhân đã được ra viện.

Hình ảnh sỏi và BN sau mổ với vết mổ rất nhỏ

   Bn nữ 44 tuổi đau thượng vị nhiều đợt. Đi khám và được chẩn đoán xơ teo thùy gan trái do sỏi gan trái. Sau hội chẩn được chỉ định cắt thùy gan trái nội soi. Trong ca mổ chung tôi đã sử dụng dao hàn mạch Ligasure và Stapler để tiến hành cắt gan trái cho bệnh nhân. Ca mổ đã diễn ra thuận lợi không chảy máu. BN ra viện sau 7 ngày.

Hình ảnh sỏi và phần gan được cắt bỏ qua nội soi.

   Trong 3 tháng đầu năm nay chúng tôi cũng đã thực hiện được hàng chục ca PTNS tán sỏi. Tất cả các ca mổ đều diễn ra thuận lợi đem lại sự hài lòng cho bệnh nhân và người nhà bệnh nhân.

   Đây là những bước tiến lớn trong phẫu thuật các bệnh lí gan mật cho người bệnh. Hy vọng BVĐK Hải Dương sẽ là địa chỉ tin cậy để bệnh nhân lựa chọn trao gửi niềm tin.

Bs CKII Phạm Hồng Nguyên

Kích thước font In ấn

Bình luận chia sẻ

Y học thường thức
Bài viết mới nhất
23/04/2026 / benhviendakhoatinhhaiduong
Nhằm không ngừng nâng cao trình độ chuyên môn, năng lực quản lý và xây dựng thương hiệu bệnh viện, Bệnh viện Đa khoa Hải Dương đã tổ chức lớp tập huấn phát triển năng lực cho đội ngũ lãnh đạo các khoa, phòng trong toàn đơn vị.
23/04/2026 / benhviendakhoatinhhaiduong
Bệnh viện Đa khoa Hải Dương trân trọng thông báo lịch nghỉ lễ giỗ tổ hùng vương, giải phóng miền nam và quốc tế lao động năm 2026
22/04/2026 / benhviendakhoatinhhaiduong
Ngày 21/4/2026, Bệnh viện Đa khoa Hải Dương đã tổ chức buổi sinh hoạt khoa học với chủ đề “Cập nhật chẩn đoán và điều trị bệnh thận mạn”, chương trình có sự tham dự của Lãnh đạo bệnh viện, các bác sĩ, dược sĩ trong toàn viện cùng đại diện Trung tâm Y tế các phường, xã và các phòng khám đa khoa trên địa bàn.
13/04/2026 / benhviendakhoatinhhaiduong
Ngày 08/4/2026, Bệnh viện Đa khoa Hải Dương đã tổ chức buổi họp Hội đồng người bệnh cấp bệnh viện Quý I năm 2026 với sự tham gia của đông đảo người bệnh và đại diện các khoa, phòng trong toàn viện. Đây là hoạt động thường kỳ nhằm tăng cường trao đổi, lắng nghe ý kiến và nâng cao chất lượng khám chữa bệnh, hướng tới mục tiêu lấy người bệnh làm trung tâm.
12/04/2026 / benhviendakhoatinhhaiduong
Chiều ngày 10/4/2026, tại Hội trường tầng 6 – Nhà A, Bệnh viện Đa khoa Hải Dương, Chung kết Hội thi Văn nghệ Đoàn Thanh niên năm 2026 với chủ đề “Blouse Trắng – Bùng Cháy Đam Mê” đã diễn ra trong không khí sôi động, đầy cảm xúc và nhiệt huyết của tuổi trẻ ngành y. Hội thi là hoạt động thiết thực chào mừng Tháng Thanh niên, hướng tới kỷ niệm 120 năm thành lập Bệnh viện, đồng thời kỷ niệm ngày thành lập Đoàn Thanh niên Cộng sản Hồ Chí Minh (26/3).
Tin đã đăng
TRANG TIN ĐIỆN TỬ BỆNH VIỆN ĐA KHOA HẢI DƯƠNG
 Địa chỉ : số 225 Nguyễn Lương Bằng, phường Lê Thanh Nghị, thành phố Hải Phòng
Điện thoại :(03203)890 205
Email: benhviendakhoatinhhaiduong@gmail.com
logo.png ® BỆNH VIỆN ĐA KHOA HẢI DƯƠNG
 Hết lòng phục vụ người bệnh và hành động vì sức khỏe cộng đồng

BỆNH VIỆN ĐA KHOA HẢI DƯƠNG giữ bản quyền nội dung cho website này.
Nghiêm cấm mọi sao chép bài viết mà không được sự đồng ý của tác giả.